"치과 가기 무서워요?" 치과 스케일링 가격, 주기, 보험 적용 팩트체크 (안 아프게 받는 법)
"위~잉! 치과 드릴 소리만 들어도 온몸에 소름이 돋으시나요?"
남자들 중에 치과 가는 걸 즐기는 사람은 아마 없을 겁니다. "아직은 안 아프니까 괜찮겠지" 하며 미루고 미루다가, 결국 잇몸이 붓고 피가 날 때야 후회하며 병원을 찾게 되죠.
하지만 치과 의사들이 입을 모아 말하는 "가장 가성비 좋은 치료"가 있습니다. 바로 '스케일링'입니다. 나중에 임플란트로 수백만 원을 쓰기 싫다면, 지금 당장 1년에 한 번씩 이 관리를 받아야 합니다.
혹시 "스케일링하면 이가 깎여나가서 시린 거 아니야?"라고 오해하고 계신가요?
또는 "보험 적용이 언제 되는지 몰라서" 망설이고 계신가요?
오늘은 치과 공포증을 가진 3040 남성분들을 위해, 치과 스케일링의 오해와 진실, 그리고 건강보험 혜택을 100% 챙기는 방법을 상세하게 정리해 드립니다.
1. 만 19세 이상이라면 연 1회 건강보험 적용을 받아 약 15,000원에 받을 수 있습니다. (매년 1월 1일 갱신)
2. 스케일링 후 이가 시린 것은 치석이 사라지면서 신경이 일시적으로 노출된 자연스러운 현상입니다.
3. 흡연자나 당뇨 환자는 3~6개월 주기로 받는 것이 안전합니다.

1. 치과 스케일링, 정말 치아를 깎아내나요? (오해와 진실)
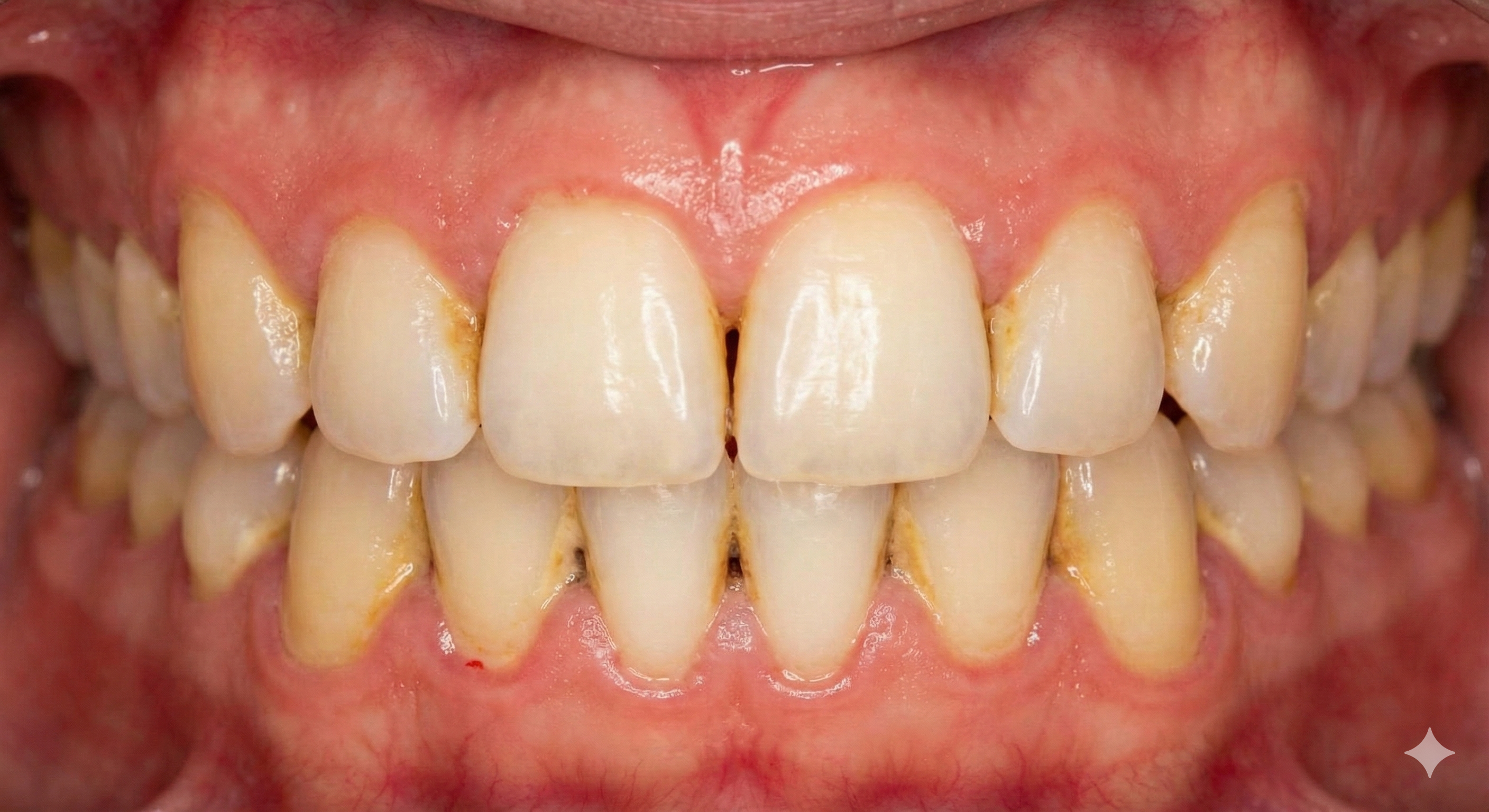
많은 분이 스케일링을 받고 나면 "이 사이가 벌어졌다"거나 "이가 얇아진 것 같다"고 호소합니다. 기계 소리가 워낙 날카롭다 보니 멀쩡한 이를 갈아낸다고 생각하기 쉽습니다.
하지만 결론부터 말씀드리면 "절대 치아를 깎지 않습니다."
✅ 작동 원리: 초음파 진동
치과 스케일링 장비는 뾰족한 팁이 미세하게 떨리는 '초음파 진동'을 이용합니다. 이 진동이 치아 표면에 붙어있는 딱딱한 돌덩어리, 즉 '치석(Tartar)'만을 톡톡 쳐서 떨어뜨리는 원리입니다. 치아는 치석보다 훨씬 단단하기 때문에 초음파 진동 정도로는 흠집조차 나지 않습니다.

✅ 구멍이 숭숭?
"스케일링하고 나서 이 사이에 구멍이 생겼어요!"
이것은 구멍이 생긴 게 아니라, 원래 구멍이 있던 자리를 꽉 채우고 있던 누런 치석이 떨어져 나가면서 빈 공간이 드러난 것입니다. 또한 부어있던 잇몸이 가라앉으면서 치아 뿌리가 보여 공간이 넓어 보일 수 있습니다.
즉, 치아가 망가진 게 아니라 원래의 깨끗한 상태로 돌아간 것이니 안심하셔도 됩니다.
2. 1년에 한 번, 커피 3잔 값으로 해결 (가격 및 보험)
과거에는 스케일링 비용이 5~6만 원 정도로 꽤 부담스러웠습니다. 하지만 2013년부터 건강보험이 적용되면서 이제는 누구나 저렴하게 이용할 수 있게 되었습니다.
💰 치과 스케일링 가격 (본인 부담금)
- 보험 적용 시: 약 15,000원 ~ 17,000원 (치과 의원급 기준)
- 보험 미적용 시: 약 50,000원 ~ 60,000원
📅 보험 적용 기준 (갱신 주기)
- 대상: 만 19세 이상 대한민국 국민 누구나
- 횟수: 1년에 1회
- 기간: 매년 1월 1일 ~ 12월 31일
예전에는 7월 1일 기준이었으나 지금은 1월 1일 기준으로 바뀌었습니다. 즉, 올해 12월 31일까지 치과 스케일링을 받지 않으면 올해의 혜택은 그냥 소멸됩니다. 다음 해로 이월되지 않으니 연말이 되기 전에 꼭 챙기셔야 합니다.
💡 Tip: 평일 야간 진료나 주말에는 가산금이 붙어 1~2천 원 더 비쌀 수 있습니다. 가장 저렴하게 받고 싶다면 평일 낮 시간을 이용하세요.
3. 나는 얼마나 자주 받아야 할까? (추천 주기)
"1년에 한 번 보험 되니까, 1년에 한 번만 가면 되죠?"
보통은 그렇지만, 사람마다 구강 환경이 다르기 때문에 권장 주기가 다릅니다.
① 1년 주기 (일반인)
양치질을 꼼꼼히 하고 잇몸 질환이 없는 건강한 성인 남성이라면 1년에 한 번, 보험 적용받을 때 가시면 충분합니다.
② 3~6개월 주기 (고위험군)
다음과 같은 분들은 치석이 훨씬 빨리 쌓이고 잇몸 염증이 잘 생깁니다.

- 흡연자: 담배의 타르와 니코틴이 치석을 검게 만들고 잇몸 뼈를 녹입니다.
- 당뇨 환자: 당뇨가 있으면 잇몸 염증(치주염)이 심해지고, 반대로 잇몸병이 있으면 혈당 조절이 안 되는 악순환이 생깁니다.
- 치열이 고르지 못한 분: 칫솔질이 잘 안 닿는 사각지대가 많아 치석이 금방 쌓입니다.
이런 분들은 보험 적용이 안 되더라도, 6개월마다 치과 스케일링을 받는 것이 나중에 수백만 원짜리 잇몸 수술을 막는 길입니다.
4. 덜 아프게 받는 노하우 (통증 줄이기)
"스케일링 너무 시리고 아파서 못 가겠어요."
이 공포 때문에 치과를 피하는 분들이 많습니다. 통증을 줄이는 방법이 있을까요?
① "가글 마취 해주세요"
주사 마취는 너무 무섭죠? 최근에는 입안을 헹구기만 해도 표면이 얼얼해지는 '가글 마취(해피카인 등)'를 구비한 치과가 많습니다. 예약할 때 "가글 마취 가능한가요?"라고 물어보세요. 통증이 훨씬 줄어듭니다.
② "물 온도 조절 가능한가요?"
스케일링할 때 나오는 차가운 물 때문에 이가 시린 경우가 많습니다. 일부 최신 장비는 미지근한 물이 나와 시린 증상을 줄여줍니다.
③ 자주 받으세요
이게 무슨 소리인가 싶겠지만, 치석이 많이 쌓여 있을수록 제거할 때 통증이 심하고 시간도 오래 걸립니다. 자주 받아서 치석이 조금만 있을 때 제거하면, 통증도 거의 없고 10분이면 끝납니다. 결국 미루면 미룰수록 더 아픈 것이 치과 스케일링의 법칙입니다.
5. 받고 나서가 더 중요합니다 (주의사항)
스케일링 직후에는 잇몸이 예민해져 있고, 치석이 떨어져 나간 치아 표면이 일시적으로 거칠 수 있습니다. 하루 이틀 정도는 관리가 필요합니다.
- 자극적인 음식 금지: 너무 차갑거나 뜨거운 국물, 맵고 짠 음식은 피하세요. 치아가 찌릿하게 시릴 수 있습니다.
- 음주/흡연 자제: 스케일링 과정에서 잇몸에서 피가 날 수 있습니다. 이때 술과 담배를 하면 상처 부위에 염증이 생겨 퉁퉁 부을 수 있습니다. 최소 일주일은 참는 게 좋습니다.
- 피 뱉지 마세요: 입안에 고인 피와 침은 뱉지 말고 삼키세요. 자꾸 뱉으면 입안 압력이 높아져서 지혈이 안 됩니다.
결론: 가장 확실한 재테크는 '치아 관리'입니다

임플란트 하나 심는 데 100만 원이 넘습니다. 반면 스케일링은 1만 5천 원입니다.
1년에 딱 한 번, 30분만 투자하면 내 소중한 치아와 잇몸 뼈를 지킬 수 있습니다.
"시간 나면 가야지"라고 생각하지 마세요. 치과는 아플 때 가는 곳이 아니라, 아프기 전에 가는 곳입니다.
지금 바로 달력을 펴서 다가오는 토요일 오전에 치과 스케일링 예약을 잡으세요. 스케일링하고 나서 개운해진 입안으로 마시는 (미지근한) 커피 한 잔, 생각보다 기분 좋습니다.
'에너지 & 건강' 카테고리의 다른 글
| "갑자기 심장이 터질 것 같나요?" 공황장애 초기증상 및 자가진단 (30대 직장인 급증 이유) (0) | 2026.02.03 |
|---|---|
| 과민성 대장 증후군(가스형/설사형) 증상 및 포드맵 식단 총정리! (0) | 2026.01.27 |
| "혈압약 한번 먹으면 평생 먹어야 할까?" 고혈압 낮추는 법 & 정상수치 (120/80의 진실) (0) | 2026.01.25 |
| 소변에 거품이 보글보글? 혹시 나도? 당뇨 초기증상 5가지 (전조증상 체크) (0) | 2026.01.24 |
| "자고 일어나도 개운하지 않다면?" 간수치높으면 나타나는증상&낮추는법 (ALT, AST 정상범위) (0) | 2026.01.22 |